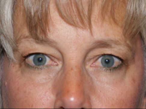
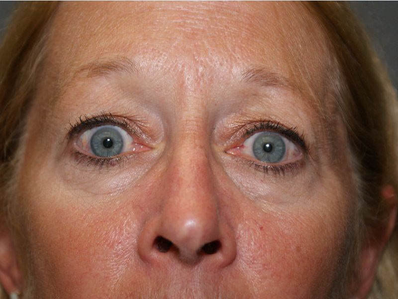
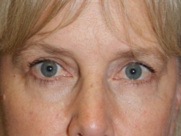
Eyelids Gallery
Schedule Your Consultation"Davinci Plastic Surgery gives outstanding patient care no matter what you go in for..."
Join Our VIP List
Don’t miss out on our amazing deals. Sign up for our VIP List to hear about the latest events and specials we’re offering.
3050 K. St. NW, Ste. 170,
Washington, DC 20007
